+90 532 574 19 99

TR| EN |

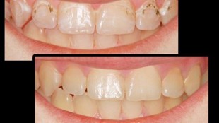
ICON ile tedavi

ICON ile tedavi

Bu yazımız ICON ile çürük önleme tedavisi hallında bilgi vermektedir.

Bazı durumları düzeltmek için ne dolgu, ne kaplama ne de laminate veneer’e gerek var. Başlangıç halindeki diş çürüklerine infiltre olabilen bir jel var ve tek uygulama(~ yaklaşık 1 saat) ile dişler üzerindeki lekelerin giderilmesi mümkün olabiliyor.

Açıklamalar daha sonra ilave edilecek.

16 February 2015
14.725 times viewed

COMMENTS

Post A Comment

POST A COMMENT