Traitement avec ICON

Cet article fournit des informations sur le traitement de prévention des caries avec ICON.
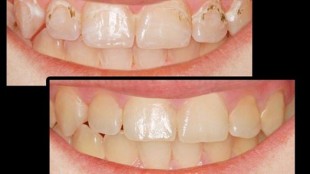
Dans certaines situations, ni remplissage, ni placage ni placage stratifié ne sont nécessaires pour corriger. Il existe un gel qui peut infiltrer la carie dentaire initiale et il est possible d'enlever les taches sur les dents en une seule application (environ 1 heure).
Des explications seront ajoutées ultérieurement.
COMMENTAIRES DES VISITEURS
ÉCRIRE UNE CRITIQUE